Case Studies
Examples of a few cases done by Dr Harshad Argekar
DISC SURGERY LYSTHESIS CORRECTION
SPINAL TRAUMA & DEFORMITY CORRECTION
PELVIC & ACETABULAR FRACTURES
COMPLEX HIP RECONSTRUCTIONS
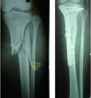
COMPLEX FRACTURES
UNCEMENTED HIP REPLACEMENT
CEMENTED HIP REPLACEMENT
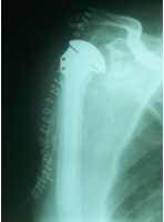
SHOULDER REPLACEMENT
TOTAL KNEE REPLACEMENT








